アズール顆粒(アズールかりゅう、英azurophilic granule)とは、血液細胞の細胞質中の、アズール色素で染まって紫褐色から紫赤色を呈する顆粒である。
概要
アズール顆粒は、ある種の血液細胞の細胞質に存在する、ロマノフスキー染色(メイ・グリュンワルド・ギムザ染色、ライト染色、ギムザ染色、など)のアズール色素で染まって紫褐色から紫赤色を呈する顆粒である。アズール好性顆粒とよばれることもある。
アズール顆粒は、顆粒球の一次顆粒として知られているが、大顆粒リンパ球、巨核球/血小板、単球などにも、また別の機能を持つアズール顆粒がみられる。
顆粒球
顆粒球は多形核白血球とも呼び、好中球・好酸球・好塩基球が含まれる。顆粒球の特徴は、微生物を殺したり組織を消化する成分を含む顆粒を持つことである。
顆粒球のもつ顆粒には、アズール顆粒(一次顆粒)と特異顆粒(二次顆粒。好中球の場合は三次顆粒もある)がある。特異顆粒は顆粒球のみにみられるもので、特異顆粒の染色上の挙動により、顆粒球は、好中球(微細な赤褐色の顆粒)、好酸球(粗大な橙赤色の顆粒)、好塩基球(粗大な青黒色の顆粒)の三種に分けられている。
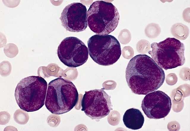
一次顆粒(アズール顆粒)
全ての顆粒球に、一次顆粒とよばれるアズール顆粒が存在する。
顆粒球の骨髄での分化過程において、骨髄芽球の段階では細胞質には顆粒がなく、前骨髄球になると、まず、一次顆粒(アズール顆粒)が出現する。骨髄球の段階では一次顆粒の生成は止まり、その白血球種に特徴的な色に染まる特異顆粒(二次顆粒)が生成されはじめる。
骨髄球も分裂増殖するので、細胞あたりの一次顆粒の数は減少していく。 また、一次顆粒の染色性も変化していき、成熟した顆粒球においては、ライト染色で淡青紫色に染まるようになる(染色性が変化しても、引き続き、アズール顆粒とよばれることがある)。なお、重症感染症などで中毒性顆粒が好中球細胞質にみられることがあるが、これは、幼若なアズール顆粒と考えられている。
一次顆粒はミエロペルオキシダーゼを含むので、ペルオキシダーゼ染色で特異顆粒と区別することができる。
一次顆粒は、各種の抗菌物質を大量に含有しており、食胞と融合して貪食された微生物を殺すのに重要な役割を果たしている。例をあげる:
- ミエロペルオキシダーゼ:過酸化水素と塩素イオンから次亜塩素酸イオンを生成して殺菌作用を発揮する。好中球の乾燥重量の5%程度存在を占め、膿が緑色に見える原因。
- ディフェンシン:陽イオン性の蛋白で各種の細菌、真菌、ウイルスを殺す作用があり、好中球の蛋白のほぼ5%程度を占める。
- リゾチーム:細菌細胞壁のペプチドグリカンを分解する(リゾチームは特異顆粒にも含まれている)。
- アズロシジン:抗菌・抗真菌活性を持つ。
一次顆粒は、その他、好中球エラスターゼ、カテプシンG、などのプロテアーゼ(蛋白分解酵素)も含んでおり、細胞外に放出されて、病原体の除去や局所の炎症過程の制御に関与する。
一次顆粒(アズール顆粒)に関連する構造物
中毒性顆粒
中毒性顆粒は、炎症などに関連して好中球の細胞質にみられるアズール好性の顆粒であり、 未熟な状態の一次顆粒と考えられている。詳細は、中毒性顆粒を参照されたい。
アウエル小体
アウエル小体は骨髄系の白血病細胞(主に骨髄芽球と前骨髄球)の細胞質にみられることがある、 アズール好性の針状から棒状の封入体であり、一次顆粒が融合したものと考えられている。 詳細はアウエル小体を参照されたい。
リンパ球
末梢血中のリンパ球の多くは小リンパ球であり、細胞質に乏しく細胞質顆粒も見られない。しかし、リンパ球の中には、大型で豊富な細胞質にアズール顆粒を有するものがあり、大顆粒リンパ球(large granular lymphocyte、LGL)とよばれる。
大顆粒リンパ球
大顆粒リンパ球は、健常人の末梢血中リンパ球の10-15%程度存在して細胞性免疫を担っており、T細胞型とNK細胞型がある。大顆粒リンパ球は、自己免疫疾患、サイトメガロウイルスなどのウイルス感染、造血幹細胞移植、臓器移植、などで増加するほか、顆粒リンパ球増多症/大顆粒リンパ球性白血病で著明な増加がみられる。
大顆粒リンパ球のアズール顆粒にはパーフォリン、グランザイム、などの細胞傷害性の物質が含まれており、細胞性免疫機能を発揮して腫瘍細胞やウイルス感染細胞を破壊するのに重要な役割を果たしている。
悪性リンパ腫/リンパ性白血病
大顆粒リンパ球性白血病以外の、アズール顆粒を有するリンパ系の悪性腫瘍としては、NK細胞性やT細胞性の悪性リンパ腫がよく知られている。B細胞性の悪性腫瘍としては、縦隔原発の大細胞性リンパ腫や有毛細胞白血病、まれに、小リンパ球性リンパ腫/白血病、MALTリンパ腫、急性リンパ性白血病(ALL)、骨髄腫などでも報告がある。
単球
単球の細胞質顆粒にもペルオキシダーゼを含むものがあるが、単球の顆粒は顆粒球よりずっと小さく、光学顕微鏡では、微細な顆粒により細胞質がスリガラス状にくすんだように見えるのが通常である。しかし、状況により、単球の核周囲に紫紅色のアズール顆粒を認めることがある。
巨核球・血小板
血小板は淡青色の細胞質のなかに多数の微細なアズール顆粒がみられる(アズール顆粒は血小板の中心部に集まることも多く、一見、核があるようにみえることがある)。
電子顕微鏡で観察すると、血小板細胞質には、巨核球で産生された多数のα顆粒と少数の濃染顆粒(δ顆粒)が含まれている。α顆粒には、βトロンボグロブリン、血小板第4因子、血小板由来成長因子、フィブリノーゲン、フォンウィレブランド因子など、δ顆粒には、ADP、ATP、セロトニン、カルシウムイオンなど、血小板の放出反応を惹起する物質が含まれている。血小板が活性化するとこれらの顆粒の内容物が細胞外に放出される。
巨核球、および、血小板のアズール顆粒の大部分はα顆粒であると考えられている。 α顆粒の先天的欠損であるα顆粒異常症(灰色血小板症候群)では血小板細胞質に顆粒を認めないので、血小板は灰青色に見える。
脚注
出典
外部リンク
- 米国血液学会画像バンク(英語)(2022年12月1日アクセス)
関連項目
- 末梢血塗抹検査・骨髄検査・骨髄像
- 染色 (生物学)・ロマノフスキー染色・ギムザ染色・メイ・グリュンワルド染色・ライト染色・アズール色素
- 白血球
- 顆粒球・多形核白血球・ 好中球・ 好酸球・ 好塩基球
- 単球
- 血小板・巨核球
- リンパ球・NK細胞
- 中毒性顆粒・アウエル小体
- 血液・血液学




![]()